İmmunohistokimya Analizleri - Otto Bilimsel

İmmunohistokimya Analizleri

Otto Bilimsel

Ottobilimsel, doku odaklı bilimsel araştırmalar için gelişmiş histokimya ve immunohistokimya (İHK) analiz hizmetleri sunmaktadır. Tüm süreçler doku takibinden parafin bloklamaya, kesit hazırlamadan boyama ve yüksek çözünürlüklü görüntülemeye kadar eksiksiz bir laboratuvar altyapısıyla yürütülmektedir. Leica marka ekipmanlar ve uluslararası akredite kimyasal markalar kullanılarak elde edilen sonuçlar, akademik projelerde (BAP, TÜBİTAK vb.) talep edilen standartlara tam uyum sağlar. Çalışmalar profesyonel teknik ekip tarafından titizlikle yürütülmekte, tüm bulgular bilimsel formatta raporlanarak teslim edilmektedir.

Histokimya Boyamaları

Rutin patoloji ve histolojik incelemelerin temelini oluşturan Hematoksilen Eozin (H&E) boyama işlemleri Merck™ marka reaktiflerle yüksek kalite standardında gerçekleştirilir. Bu yöntem, doku mimarisinin genel yapısını, hücresel yerleşimi ve patolojik değişimleri değerlendirmek için temel bir çözümdür. Yapılan histopatolojik incelemeler uzman ekip tarafından değerlendirilir ve elde edilen bulgular detaylı bir rapor formatında sunulur.

Özel Histokimyasal Boyamalar

Özel doku bileşenlerinin belirlenmesi, kantitatif ölçümlerin yapılması ve spesifik doku alt yapılarının incelenmesi gereken projelerde özel histokimyasal boyama yöntemleri uygulanmaktadır. Laboratuvarımızda titizlikle gerçekleştirilen başlıca özel boyamalar şunlardır:

Trikrom (Mallory, Masson), Verhoeff elastik lif boyası, Osmium tetroksit yağ boyaması, Sudan siyahı, Gümüşleme yöntemleri, PAS (Periodic Acid Schiff) boyası ve Luxol Fast Blue miyelin boyaması. Bu yöntemler bağ dokusu, kıkırdak, yağ dokusu, sinir dokusu ve kemik yapılarının detaylı karakterizasyonu açısından kritik öneme sahiptir.

Her boyama işleminde uluslararası protokoller uygulanır; doku kesitlerinin renk yoğunluğu, kalınlığı ve kontrastı standartlaştırılmış koşullar altında optimize edilir.

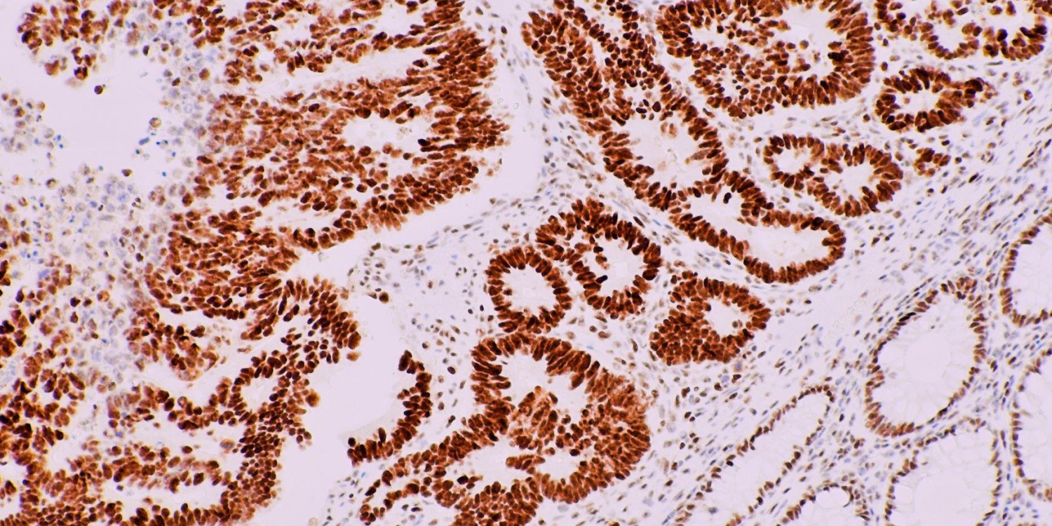
İmmunohistokimya (İHK) Analizleri

İmmunohistokimya, doku kesitleri üzerinde hedef antijenlerin özgün antikorlarla reaksiyona sokularak belirlenmesini sağlayan güçlü bir analitik yaklaşımdır. Farklı doku ve tümör tiplerinin ürettiği karakteristik proteinlerin tespiti, niteliksel veya yarı kantitatif düzeyde yapılabilir. Bu yöntem, PCR ve Western Blot gibi moleküler analizlerin yanında görsel doğrulama sağlayarak araştırmacılara daha güçlü bir veri seti sunar.

Laboratuvarımızda hem peroksidaz temelli ışık mikroskobu görüntüleme hem de floresan işaretleme ile floresan mikroskobu görüntüleme yöntemleri uygulanmaktadır. Böylece hem klasik İHK hem de floresan immunohistokimya seçenekleri araştırma amacına göre esnek şekilde kullanılabilir.

Programlanmış hücre ölümü (apoptoz) analizlerinde yaygın olarak kullanılan TUNEL yöntemi de immünhistokimyasal protokoller kapsamında laboratuvarımızda uygulanmaktadır.

Antijen varlık yokluğu sayım yöntemleriyle belirlenirken, protein ekspresyon düzeyi yarı kantitatif değerlendirmeyle ya da ImageJ tabanlı kantitatif analizlerle ölçülebilir. Bu yaklaşım özellikle hücresel yanıt mekanizmaları, tümör biyolojisi, doku yenilenmesi ve rejenerasyon çalışmalarında yüksek doğruluk sağlar.

Teknik Süreç ve Altyapı

Doku takibi, parafin blok hazırlama, mikrotom kesit alma, lam hazırlama ve boyama işlemleri Leica marka cihazlarla standartlaştırılmış koşullar altında gerçekleştirilir. Her örnek tipi için optimize edilmiş protokoller uygulanır:

  • Numune hazırlığı
  • Parafin bloklama
  • 4–5 mikron kalınlığında kesit alma
  • Boyama protokollerinin uygulanması
  • Işık veya floresan mikroskobunda görüntüleme
  • Veri analizi
  • Raporlama

Tüm süreç boyunca numune bütünlüğü korunur ve araştırmacılara yüksek çözünürlüklü görsellerle desteklenen profesyonel raporlar sunulur.

İmmünfloresan görüntü örneği

İmmunhistokimya‑peroksidaz görüntü örneği

İleri Düzey Analiz

Valide moleküler, mikrobiyoloji ve biyokimya testleri; ISO uyumlu rapor, LIMS izlenebilirlik ve hızlı sonuç ile süreçlerinizi güçlendirir.

Neden Otto Bilimsel?

Çünkü analizlerde güven, teknoloji ve uzmanlığı bir araya getiriyoruz.

Güvenilir Sonuçlar
Güvenilir Sonuçlar

Her testte doğruluk ve tekrarlanabilirlik esas alınır, raporlarımız anlaşılır ve net hazırlanır.

İleri Teknoloji
Modern Teknoloji

Güncel cihazlar ve kitlerle çalışarak, uluslararası standartlarda analiz sağlıyoruz.

Uzman Kadro
Deneyimli Ekip

Moleküler biyoloji, biyokimya ve mikrobiyoloji alanlarında uzman kadromuzla yanınızdayız.

Şeffaf Süreç
Şeffaf Süreç

Numuneden rapora kadar her adım düzenli paylaşılarak izlenebilir hale getirilir.